Introduction
Parasitic leiomyoma, also termed wandering fibroid, is a tumour composed of whorled bundles of monoclonal myocytes and fibrous connective tissue. These myomas likely originate as pedunculated subserosal fibroids, which lose contact with the uterine corpus after twisting and torsion of the uterine pedicle, or are seeded during laparoscopic myomectomy through the morcellation process [1,2].
Depending on their site of implantation, they may present as abdominal or pelvic masses and mimic a variety of intra-abdominal pathologies, including ovarian neoplasms, retroperitoneal tumours, and gastrointestinal stromal tumours (GIST). Radiological findings are often non-specific, and preoperative distinction from malignant mesenchymal tumours may be challenging [2,3].
We report a case of parasitic leiomyoma presenting 10 years after laparoscopic myomectomy, radiologically suggestive of GIST and associated with elevated CA-125 and indeterminate ascitic cytology, thereby highlighting the potential of benign leiomyoma to mimic other intra-abdominal tumours.
This case has been formulated in accordance with the CARE guidelines.
Case Presentation
A 37-year-old nullipara female presented with complaints of abdominal distension for the last two months. She had a history of heavy and prolonged menstrual bleeding six months back, following which she developed severe anaemia and was transfused 2 units of PRBCs and iron infusion before presenting at our centre.
There was a prior history of laparoscopic myomectomy 10 years ago, following which the patient had been asymptomatic. Her past history, personal history and family history were otherwise not significant.
On physical examination, her general condition was fair, and her vitals were stable; however, she was mildly pale. Abdominal examination revealed an abdominopelvic mass approximately 24 weeks gravid uterus size with irregular surface, firm in consistency, with side-to-side mobility and non-tender. Another abdominopelvic mass was palpated separately in the left lumbar and left iliac fossa region, measuring approximately 9 X 9 cm with similar features. There was no ascites, and a dull note was obtained on percussion over the mass. On bimanual examination uterus was irregularly enlarged and ~24 weeks in size. Bilateral forniceal fullness was noted. On per rectal examination, similar mass was felt, and the uterus could not be palpated separately. No nodularity was felt, and the rectal mucosa was free.
Her routine laboratory investigations revealed mild anaemia with a haemoglobin level of 10 g/dL, and CA 125 levels were raised to 131 U/mL. Other tumour markers and lab parameters were within normal range. Her PAP Smear was negative for intraepithelial lesions or malignancy, and pre-menstrual endometrial sampling depicted secretory endometrium.
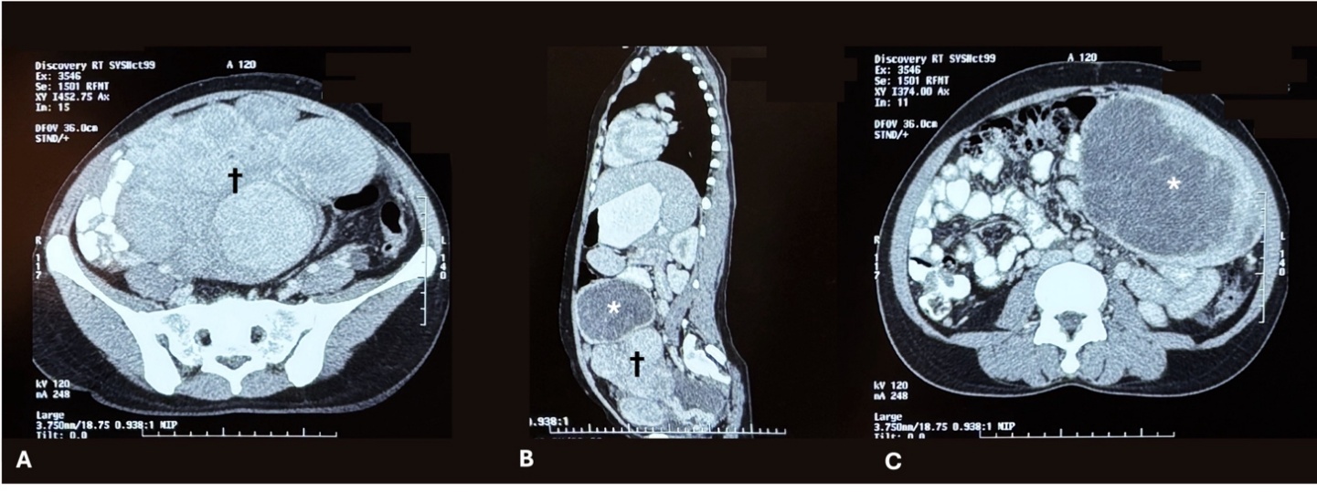
Ultrasonography revealed a very large heterogeneously hypoechoic whorled appearing round to oval lesion in the pelvic cavity extending into the umbilical region & right iliac fossa measuring approximately 156 X 169 X 213 mm with increased intralesional vascularity suggestive of uterine leiomyoma. Further on contrast-enhanced computed tomography, a large well-demarcated, heterogeneous, irregular, predominantly peripherally enhancing mass lesion centred in the small bowel mesentery with a necrotic core and lobulated outer margins with intact fat planes was detected, likely to be GIST (Figure 1).

A provisional diagnosis of uterine leiomyoma with gastrointestinal stromal tumour was made, and the patient was counselled about the diagnosis and treatment modalities. Patient opted for exploratory laparotomy with mass excision +/- abdominal hysterectomy.
She was pre-operatively optimised and subsequently taken up for exploratory laparotomy.
Mild ascites was present, and ascitic fluid was sent for cytology, which consisted of atypical epithelial cells with mild nuclear pleomorphism and reported as Atypia of Undetermined Significance, Category III- as per the International System for Reporting Serous Fluid Cytopathology. Despite the cytological findings, there were no features suggestive of malignancy intraoperatively. The uterus was found to be irregularly enlarged with multiple uterine fibroids, about 24 weeks’ gravid uterus size (approximately 20 X 20 cm). Bilateral fallopian tubes were oedematous and tortuous with enlarged, multicystic and bulky ovaries. Another solid mass approximately 10 X 10 cm, with bosselated surface, was seen arising from the left abdominal wall encasing the small bowel, separate from the uterus (Figure 2). The mass was highly vascular with probable blood supply from the lateral abdominal wall and omentum. A total abdominal hysterectomy with bilateral salpingo-oophorectomy with complete mass excision was performed. The specimen of the uterus with bilateral fallopian tubes and ovaries, and the mass were sent for histopathological evaluation. Her postoperative period was uneventful, and she was discharged in a stable state on day four post-surgery.

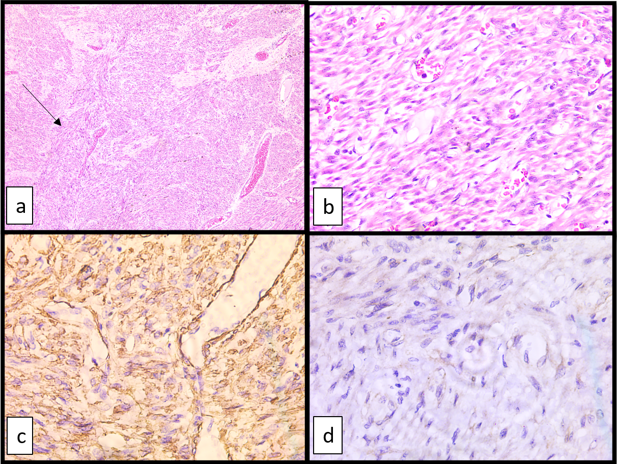
Histopathological biopsy reported bilateral fallopian tubes enlarged and congested with small paratubal cysts, right ovary enlarged, and left ovary enlarged & cystically dilated; cervix showed endocervicitis and extensive squamous metaplasia, with endometrium showing atrophic changes and myometrium showing leiomyoma. The intra-abdominal mass showed a well-circumscribed & well-encapsulated smooth muscle tumour with cells arranged in whorls and intersecting bundles displaying cigar-shaped nuclei with extensive myxoid degeneration (Figure 3). Immunohistochemical studies were performed, which were negative for CD117 and DOG1 with low Ki-67 and CD34 showed focal stromal positivity; however, SMA was strongly positive in tumour cells. A final diagnosis of Wandering Leiomyoma was thus made.
At one-month follow-up, the patient was found to be doing well.

Discussion
FIGO classifies uterine fibroids into nine categories, with type 8 representing parasitic leiomyoma. Parasitic leiomyoma, also termed wandering fibroid, is a rare extrauterine variant that may arise either spontaneously from detachment of a pedunculated subserosal fibroid or secondarily following dissemination of leiomyoma fragments during laparoscopic morcellation [1,2]. The reported incidence following laparoscopic myomectomy with uncontained morcellation is approximately 0.9% [4]. These lesions may occur anywhere in the abdominal cavity, most commonly in the pelvis or omentum, and may present with abdominal pain, mass effect, or bowel symptoms depending on location [1,5].
Extrauterine parasitic leiomyomas located in the mesentery or retroperitoneum are frequently misdiagnosed as gastrointestinal stromal tumours (GIST) or other mesenchymal neoplasms. Systematic reviews indicate that nearly one-third to one-half of such lesions were initially suspected to represent malignant gastrointestinal tumours on imaging [2,3,6]. This overlap reflects their solid consistency, vascularity, and occasional cystic or myxoid degeneration.
On contrast-enhanced CT, both GIST and parasitic leiomyoma may appear as well-defined, heterogeneously enhancing masses with necrotic or cystic areas [3,7]. GISTs typically arise from the bowel wall and often demonstrate an exophytic growth pattern, whereas parasitic leiomyomas may display a whorled architecture similar to uterine fibroids and coexist with uterine myomas [7]. In our patient, the absence of a clear bowel wall origin suggested a non-gastrointestinal source; however, imaging alone was insufficient to exclude GIST. Definitive diagnosis required histopathology and immunohistochemistry demonstrating strong SMA positivity with negativity for CD117 and DOG1.
The interval between laparoscopic myomectomy and detection of parasitic leiomyoma usually ranges from 2 to 8 years, with a median of 4-5 years [2,4,8]. Our patient presented 10 years after surgery, representing a relatively prolonged latency. As morcellation details were unavailable, both spontaneous and iatrogenic mechanisms remain possible.
The diagnostic challenge was compounded by elevated CA-125 and ascitic cytology showing atypia of undetermined significance. Although CA-125 is classically associated with ovarian malignancy, it may also rise in benign conditions involving peritoneal irritation or extensive leiomyomatous disease [9]. Reactive mesothelial atypia may mimic malignant cytological changes.
In conclusion, awareness of parasitic leiomyoma in women with prior uterine surgery is essential to avoid unnecessary radical intervention and to guide appropriate operative planning.
Declarations
Acknowledgements
Nil
Conflict of interest
The authors declare no conflicts of interest.
Funding/ financial support
N.A.
Ethical Clearance
The authors have nothing to report.
Consent
Informed written consent has been obtained from the patient to publish the case report.