Introduction
The diagnostic approach to chronic pulmonary disease in high burden infectious settings is frequently shaped by epidemiological presumption, often resulting in empirical therapy without definitive confirmation [1]. While such strategies may expedite treatment, they introduce a substantial risk of diagnostic misclassification when clinical response deviates from expected trajectories.
Lung carcinoma in younger individuals represents an increasingly recognized clinical subset characterized by aggressive biological behavior and atypical presentation [2]. The overlap between infectious and neoplastic processes on clinical and radiological grounds further complicates early differentiation, particularly when imaging demonstrates unilateral consolidation, airway involvement, or mass like lesions [3].
Current clinical practice guidelines emphasize the necessity of early tissue diagnosis in suspected malignancy; however, this step is often deferred in cases initially presumed to be infectious [4]. From a pathological standpoint, poorly differentiated tumors with clear cell morphology broaden the differential diagnosis to include metastatic neoplasms, necessitating comprehensive immunophenotypic characterization [5,6].
Functional imaging has further refined diagnostic accuracy by enabling characterization of tumor metabolism, with increased glycolytic activity serving as a surrogate marker of aggressive oncologic behavior [7].
This report details a prolonged diagnostic trajectory culminating in advanced stage non-small cell carcinoma, highlighting the consequences of delayed reassessment and emphasizing the importance of temporal vigilance in clinical decision making [8].
Case Presentation
Baseline Period Approximately Ten Years Prior to Diagnosis
The patient sustained thoracic trauma following a road traffic accident without long term pulmonary sequelae.
Initial Symptom Onset Approximately Six Years Prior to Diagnosis
The patient developed persistent cough, dyspnea, intermittent fever, and weight loss. Empirical antitubercular therapy was initiated without microbiological confirmation.
Treatment Phase Over Six to Nine Months
Completion of therapy occurred without clinical improvement. No escalation to imaging or tissue diagnosis was undertaken.
Intervening Period Approximately Five Years
Persistent and progressive symptoms continued without definitive diagnostic reassessment, representing prolonged diagnostic inertia.
Current Presentation
Worsening respiratory symptoms and constitutional decline prompted reevaluation, revealing significant unilateral thoracic findings and nodal disease.
Investigations
Histopathological and Immunophenotypic Reporting
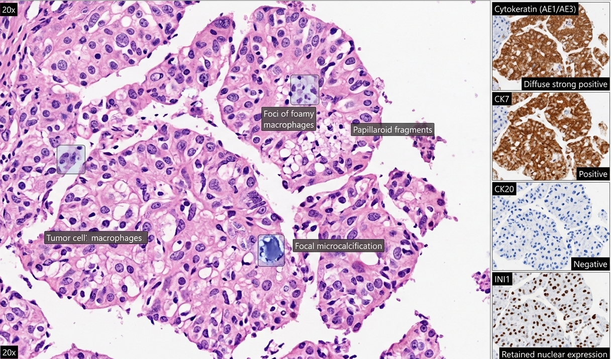
Microscopy with hematoxylin & Eosin demonstrated sheets and papillaroid structures composed of tumor cells with hyperchromatic nuclei and abundant clear cytoplasm. No glandular or squamous differentiation was identified.
Immunohistochemistry confirmed epithelial origin with cytokeratin positivity and excluded multiple lineage specific markers. INI1 expression was retained, and beta catenin showed no nuclear localization.
Special staining did not demonstrate mucin.
Findings were consistent with poorly differentiated non-small cell carcinoma with clear cell features.

Fig 1: H&E and IHC from the left supraclavicular lymph node reveal metastatic epithelial malignancy composed of papillaroid fragments and solid sheets of monomorphic hyperchromatic cells with predominantly clear to focal eosinophilic cytoplasm, admixed with foamy macrophages and microcalcifications, without gland formation or keratinisation. Tumor cells show diffuse CK (AE1/AE3) and CK7 positivity, with negativity for CK20, p40, p63, and TTF1, excluding squamous and primary lung adenocarcinoma. Retained INI1, absent nuclear β-catenin, and PAS-D negativity further support the diagnosis. With ~70% tumor cellularity, features are consistent with metastatic non-small cell carcinoma.
Anatomical Imaging
Contrast enhanced imaging demonstrated a large heterogeneous mass occupying the left hemithorax with bronchial involvement, mediastinal and supraclavicular lymphadenopathy, pericardial effusion, hepatosplenomegaly, and minimal pelvic fluid.

Fig. 2: Contrast-enhanced computed tomography of the chest, abdomen, and pelvis demonstrates a massive, multilobulated, heterogeneously enhancing soft-tissue mass occupying the entire left hemithorax, with internal low-attenuation areas suggestive of necrosis or hemorrhage, indicative of aggressive tumor biology. The lesion shows direct encasement and luminal narrowing of the left main bronchus (as marked), favoring true airway invasion. There is extensive mediastinal and left supraclavicular lymphadenopathy, consistent with advanced nodal dissemination. Mild pericardial effusion with associated thickening suggests early serosal involvement. Abdominal findings include mild hepatomegaly and splenomegaly (highlighted), likely reflecting systemic or reticuloendothelial response in the absence of focal lesions, along with minimal pelvic free fluid. The contralateral lung remains free of metastasis.
Functional Metabolic Profiling
Whole-body fluorodeoxyglucose positron emission tomography integrated with computed tomography demonstrates intense radiotracer uptake with markedly elevated standardized uptake values, reflecting heightened glycolytic flux and tumor metabolic reprogramming. An extensively hypermetabolic bulky mass occupies the entire left hemithorax, in sharp contrast to the metabolically inactive right lung, confirming a dominant unilateral primary malignancy. There is widespread lymphatic dissemination with multiple avid mediastinal and hilar nodal masses, along with a highly avid left supraclavicular lymph node indicating extrathoracic metastatic spread and advanced stage disease. Multiplanar reconstructions confirm near-complete occupation of the left thoracic cavity, while physiological uptake in the brain, myocardium, liver, and spleen is preserved. The whole-body projection consolidates these findings, demonstrating extensive nodal involvement without additional distant visceral hypermetabolic disease.

Figure 3:18F-FDG PET/CT demonstrates an intensely hypermetabolic, bulky mass occupying the entire left hemithorax (Panels A, C, MIP), representing the dominant primary malignancy with high glycolytic activity, in stark contrast to the metabolically inert (“cold”) right lung (Panel A), which remains uninvolved. There is extensive contiguous and discontinuous nodal dissemination, with multiple FDG-avid mediastinal and hilar nodal stations (Panels A, C, sagittal D) forming conglomerate hypermetabolic nodal masses, indicating advanced intrathoracic lymphatic spread. A markedly avid left supraclavicular lymph node (coronal view) signifies extrathoracic nodal metastasis and serves as a critical staging determinant. Multiplanar reconstructions, including sagittal and coronal views, delineate the craniocaudal and anteroposterior extent of disease, confirming near-complete occupation of the left thoracic cavity. Physiological tracer uptake is appropriately noted in the brain, myocardium, liver, and spleen, preventing interpretative confounding. The whole-body maximum intensity projection consolidates these findings, depicting a dominant unilateral thoracic disease burden with extensive nodal involvement and no significant distant visceral hypermetabolic foci beyond expected physiological distribution.
Discussion
The clinical trajectory, characterized by a prolonged period of misdiagnosis and inappropriate therapy, reflects a significant diagnostic delay. The initial assumption of infectious etiology, particularly tuberculosis, is well documented in endemic regions and often leads to therapeutic inertia in the face of non response [1]. Young age at presentation further contributed to the low index of suspicion for malignancy, despite emerging evidence that lung carcinoma in younger individuals may demonstrate aggressive biology and atypical presentations [2].
Radiologically, large unilateral masses with bronchial involvement and mediastinal lymphadenopathy are classical features of advanced lung malignancy; however, overlapping features with chronic infections, including cavitation and consolidation, can obscure early recognition [3]. The absence of response to anti infectious therapy should have prompted early tissue diagnosis, which remains the gold standard for differentiation [4].
Histologically, the presence of clear cytoplasm in carcinoma cells introduces a broad differential diagnosis, including metastatic renal cell carcinoma, clear cell carcinoma of pulmonary origin, and rare variants of poorly differentiated carcinoma. The immunohistochemical profile in this case effectively excluded metastatic disease from common primary sites and supported a primary pulmonary epithelial malignancy [5].
The absence of thyroid transcription factor one expression is noteworthy, as it is commonly positive in pulmonary adenocarcinoma; however, loss of this marker is recognized in poorly differentiated tumors and does not exclude pulmonary origin [6]. Similarly, the lack of p40 and p63 expression argues against squamous differentiation, consolidating the diagnosis within the spectrum of non-small cell carcinoma lacking definitive lineage specification.
The role of metabolic imaging in this case was crucial in staging and identifying metabolically active nodal disease. High uptake values correlate with aggressive tumor biology and poor prognosis, particularly in the context of extensive thoracic involvement [7].
The presence of mild hepatosplenomegaly and minimal pelvic fluid suggests early systemic dissemination, even in the absence of overt metastatic lesions. This underscores the importance of whole-body evaluation in advanced thoracic malignancies.
The diagnostic delay of approximately six years represents a critical failure point in clinical management. Literature indicates that delays exceeding three months in the diagnosis of lung carcinoma significantly impact staging and survival outcomes [8]. In this patient, the prolonged period of misdirected therapy allowed for unchecked tumor progression to an advanced metastatic stage.
The management of advanced non-small cell lung carcinoma in a young patient with prolonged diagnostic delay requires a strategy that is both biologically informed and temporally decisive. At presentation, the patient demonstrates features of locally advanced and systemically evolving disease, necessitating comprehensive staging followed by rapid initiation of systemic therapy.
The cornerstone of modern therapeutic decision making in non-small cell lung carcinoma lies in molecular stratification. Broad based genomic profiling, including assessment for actionable driver alterations such as epidermal growth factor receptor mutations, anaplastic lymphoma kinase rearrangements, ROS1 fusions, and other emerging targets, is essential prior to initiation of therapy whenever clinically feasible [9]. In younger patients and those without classical risk factors, the likelihood of targetable oncogenic drivers is significantly enriched, making molecular interrogation indispensable.
In the absence of actionable alterations, immunotherapy-based strategies have transformed the therapeutic landscape. Programmed death ligand one expression serves as a predictive biomarker guiding the use of immune checkpoint inhibitors either as monotherapy or in combination with platinum-based chemotherapy [10]. High expression levels may permit first line monotherapy, whereas lower expression typically necessitates combined chemoimmunotherapy approaches to achieve optimal disease control.
For patients with high tumor burden and aggressive metabolic phenotype, as suggested by markedly elevated glycolytic activity on functional imaging, combination regimens incorporating platinum doublet chemotherapy with immunotherapy are often favored due to their rapid cytoreductive potential [11]. These regimens have demonstrated survival benefit across multiple randomized trials and remain the standard of care in advanced stage disease lacking targetable mutations.
The presence of clear cell morphology and absence of definitive lineage differentiation introduce additional complexity. Although not independently predictive of therapeutic response, such histological ambiguity reinforces the importance of comprehensive molecular profiling to exclude rare but targetable entities. Furthermore, poorly differentiated tumors frequently exhibit increased tumor mutational burden, which may enhance responsiveness to immune checkpoint blockade [12].
Given the extent of thoracic involvement and nodal disease, surgical intervention is not indicated. The role of radiotherapy is primarily palliative, directed toward symptom control in cases of airway obstruction, hemoptysis, or localized pain. In selected scenarios, consolidative thoracic radiotherapy may be considered following systemic disease control, although evidence remains context dependent [13].
Supportive care remains integral to management. Optimization of performance status, management of cancer associated cachexia, and early integration of palliative care services have been shown to improve both quality of life and survival outcomes. In younger patients, psychosocial and functional considerations assume additional importance and should be addressed proactively.
Conclusion
In conclusion, this case exemplifies a profound diagnostic pitfall wherein metastatic non-small cell carcinoma masqueraded as chronic pulmonary infection in a young adult, leading to prolonged inappropriate treatment and delayed definitive diagnosis. The absence of response to empiric therapy, particularly in regions with high infectious disease burden, must trigger immediate reassessment and tissue confirmation. Comprehensive histopathological and immunohistochemical evaluation remains indispensable in characterizing poorly differentiated tumors with ambiguous morphology. Early integration of imaging, pathology, and clinical suspicion is essential to prevent catastrophic delays in diagnosis. This case reinforces the necessity for vigilance, especially in atypical presentations and younger patients, where malignancy may be erroneously deprioritized.
Declarations
Acknowledgements
None
Conflict of Interest
None
Funding/ financial support
None
Contributors
None
Ethical Clearance
Not Applicable
Trial details
None