Introduction
Cryptococcosis is caused primarily by Cryptococcus neoformans and Cryptococcus gattii, encapsulated yeasts that cause opportunistic infections in immunocompromised hosts. Globally, cryptococcal meningitis accounts for approximately 15% of AIDS-related deaths, with an estimated 220,000 cases annually among people living with HIV/AIDS (PLHA) [1].
Pulmonary infection occurs following inhalation of fungal spores and may remain localized or disseminate hematogenously, particularly in patients with CD4 counts <100 cells/mm³ [2]. In tuberculosis-endemic regions, pulmonary and nodal cryptococcosis may closely resemble tuberculosis clinically and radiologically, leading to delayed diagnosis and inappropriate empirical anti-tubercular therapy [3].
We report a case of disseminated cryptococcosis presenting with pulmonary, lymphatic, and ocular involvement in advanced HIV infection.
Case Presentation
A 30-year-old male, tile cutter by occupation and chronic alcoholic for 10 years, presented with a 4-month history of productive cough, intermittent evening rise of fever with chills, chronic diarrhea, anorexia, generalized weakness, and weight loss. There was no significant prior medical history.
On examination he had right supraclavicular lymphadenopathy along with bilateral basal crackles on auscultation.
Laboratory Findings showed severe anemia (chronic with B12 deficiency), mild acute kidney injury (resolved with supportive care). His HIV serology came back Positive with a CD4 count of 30 cells/mm³. His sputum AFB and CBNAAT were negative. Sputum KOH showed budding yeast cells.
Radiology
Contrast-enhanced CT thorax revealed (Figure 1): Multiple enlarged mediastinal and right hilar lymph nodes (largest 4.8 × 2.5 cm) along with bilateral lower lobe consolidations & minimal bilateral pleural effusion.

Axial contrast-enhanced CT image demonstrating multiple enlarged mediastinal and right hilar lymph nodes, along with bilateral interstitial nodular changes.

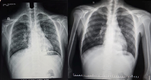
Chest X-ray showing bilateral lower zone opacities with ill-defined margins, consistent with consolidation. No obvious cavitation noted. Post treatment Chest Xray shows improvement.
Diagnostic Confirmation
Supraclavicular lymph node biopsy: India ink positive; budding yeast cells
Histopathology: Fungal infection with encapsulated yeast forms
Bronchoalveolar lavage cytology: Positive for cryptococcus
Serum cryptococcal antigen: Positive
Fundus examination: Multiple choroid tubercles
CSF examination: Normal

Smear prepared from BAL sample shows round to oval budding yeast cells with thick capsule in a background of neutrophils, alveolar macrophages. A: These fungal organisms appear weakly stained on Wright Giemsa (WG; X400), B: They are magenta stained on PAS stain and the capsule is unstained (PAS; X400), C: These yeast are Gram positive with capsule weakly positive (Gram's stain; X400), D: On GMS stain these fungal yeast are silver positive and capsule appears as halo (GMS; X400).
Final Diagnosis
Advanced HIV infection with disseminated cryptococcosis (pulmonary, nodal, ocular) along with severe anemia and oral candidiasis.
The patient was initiated on induction therapy with Liposomal amphotericin B (150 mg IV daily) with Flucytosine (1250 mg four times daily).
He showed significant clinical improvement and was discharged on consolidation antifungal therapy with planned antiretroviral initiation as per guidelines.
Discussion and Literature Review
Cryptococcosis predominantly affects immunocompromised individuals, especially PLHA with CD4 counts below 100 cells/mm³ [2]. The disease spectrum ranges from asymptomatic pulmonary colonization to disseminated infection involving CNS, lymph nodes, skin, and eyes.
Epidemiology
The global burden of HIV-associated cryptococcosis remains substantial despite ART availability [1]. Mortality is particularly high in low- and middle-income countries due to delayed diagnosis and limited access to optimal antifungal therapy.
Pathogenesis
Inhaled spores establish primary pulmonary infection. In advanced immunosuppression, impaired Th1-mediated immunity allows hematogenous dissemination [2,4]. Chronic alcoholism may further impair immune defenses, increasing susceptibility.
Pulmonary Manifestations
Pulmonary cryptococcosis in immunocompromised hosts commonly presents with multiple nodules, segmental or lobar consolidation, cavitation, pleural effusion, mediastinal lymphadenopathy [5].
These findings often overlap with pulmonary tuberculosis, particularly in endemic regions.
Lymph Node Involvement
Cryptococcal lymphadenitis is uncommon but documented. It may mimic lymphoma or tuberculous lymphadenitis. Histopathology typically demonstrates encapsulated yeast forms visible with India ink or mucicarmine staining [6].
Ocular Involvement
Ocular manifestations result from hematogenous dissemination and include choroiditis, papilledema, cranial nerve palsies, and retinitis [4]. The presence of choroidal lesions in our patient suggested systemic spread despite normal CSF findings.
Diagnosis
Serum cryptococcal antigen (CrAg) testing is highly sensitive and specific and is recommended for screening PLHA with CD4 <100 cells/mm³ [7]. Tissue diagnosis remains crucial in TB-endemic settings where empirical ATT may otherwise be initiated.
Treatment
Current WHO and IDSA guidelines recommend induction therapy with liposomal amphotericin B plus flucytosine, followed by high-dose fluconazole consolidation [7,8]. Combination therapy significantly reduces mortality compared to monotherapy. Timing of ART initiation should balance benefits against the risk of immune reconstitution inflammatory syndrome [9].
Tuberculosis Mimicry
In TB-endemic settings, chronic cough, fever, weight loss, lymphadenopathy, and radiological consolidation strongly bias clinicians toward tuberculosis. Misdiagnosis can delay antifungal therapy and increase mortality [3]. This case underscores the importance of fungal evaluation in advanced HIV with atypical or smear-negative TB presentations.
Learning Points
Disseminated cryptococcosis can closely mimic tuberculosis in TB-endemic countries.
PLHA with CD4 <100 cells/mm³ should undergo routine serum cryptococcal antigen screening.
Lymphadenopathy and ocular lesions suggest hematogenous dissemination.
Early combination antifungal therapy significantly improves outcomes.
Tissue diagnosis is essential before empirical anti-tubercular therapy in advanced HIV.
Conclusion
Disseminated cryptococcosis remains a significant diagnostic challenge in tuberculosis-endemic regions. In patients with advanced HIV presenting with chronic respiratory symptoms and lymphadenopathy, fungal infections must be actively considered. Early diagnosis and guideline-directed antifungal therapy are critical to improving survival.
Declarations
Acknowledgements
None
Conflict of interest
None
Funding/ financial support
None
Contributors
Dr Palash Agarwal, Dr Abhinav Choubey, Dr Alkesh Khurana, Dr Ujjawal Khurana
Ethical Clearance
Not applicable
Trial details
Not applicable